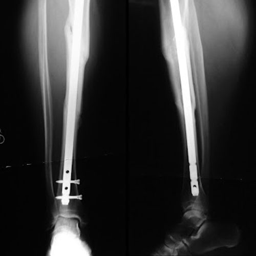
A bone fracture that is not currently healed and which will not even heal in the future is known as non-union. The non-union fractures are defined when there is no 9-month post occurrence or healing and has not shown any progress for three months.

Recovery and hospital stay at orthopedic hospital of a patient depends on the healing progress after orthopedic surgery which is determined by doctors by taking X-rays.
The treatment of non-union depends on the types of fracture and reasons for non-healing in the patient. In some cases, surgery is not required for the healing as they are treated with braces and various non-invasion methods.
In the surgeries, the surgeons mainly focus on
Consult Dr. Prashanth Chalasani who is renowned orthopedic surgeon with a keen interest in arthroscopy and sport injuries of the knee, shoulder, hip etc.


Consultation for any ortho related issues